Riskigrupid:
Kirjeldus
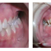
Hammustades on näha, et alumine hambakaar on laiem kui ülemine. Tagumine risthambumus võib olla kas mõlemapoolne või ühepoolne ja sageli hambakaarte keskjooned hammustades ei ühti. Tagumist risthambumust võib esineda 10 % lastest.Ülemise hambakaare kitsenemine võib olla tingitud ninahingamise takistusest (suu kaudu hingates muutub suulagi kõrgemaks ja kitsamaks), kahjulikest harjumustest (pöidla, sörme, luti, keele, alahuule imemine), kaariese komplikatsiooni tõttu varajasest piimahammaste kaotusest, millest omakorda võib tekkida harjumus mäluda vaid ühe suupoolega (sellega kaasneb piimahammaste ebaühtlane kulumine ning kulumata piimahambad suunavad alalõua kokkuhammustades sundhambumusse ehk ühele poole viltu ja kaasneb näo asümmeetria).
Pildid
Ülemise hambakaare kitsenemine ehk tagumiste hammaste risthambumus.
alumine hambakaar on laiem ülemisest
Ravi
Varases vahetuvas hammaskonnas (6-9 aastastel) alustatakse ravi kahjulike harjumuste kõvaldamisega, õige ninahingamise taastamisega ja valesti kulunud piimahammaste tekitatud eelkontaktide kõrvaldamisega.Ravimata jäämisel on takistatud ülalõua edasine kasv ja asümmeetria süveneb.
Skeletaalse lõualuude vale asendi ning ravimata jäänud funktsionaalse probleemi ravi jätkub jäävhammaskonnas.
Väljendunud anomaaliate korral, mis on tingitud lõualuude omavaheliste suuruste ebakõlast on täiskasvanu eas näidustatud operatiivne ravi.
