Riskigrupid:
Kirjeldus
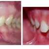
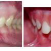
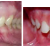
Normaalse hambumuse puhul katavad ülemised eeshambad alumisi 1/3 krooni pikkuse ulatuses ning alumiste eeshammaste lõikeserv on kontaktis ülemiste lõikehammaste suulaepoolse pinnaga.Sügavhambumuse puhul katavad aga ülemised hambad alumisi lõikehambaid rohkem kui 1/3 hambakrooni ulatuses. Raskemate vormide puhul alumised hambad ei paista ning on tekkinud traumeeriv kontakt suulae ja alumiste eeshammaste vahel. Näo välisvaatlusel on näha, et alumine näo kolmandik on lühenenud
Sügavhambumus võib olla tekkinud tagumiste piimahammaste varajasest kaotusest näiteks kaariese komplikatsiooni tagajärjel. Sageli aga sügavhambumus iseseisvalt ei esine, enamasti on sügavhambumus koos mõne teise kaasuva hambumusanomaaliaga.
Pildid
Sügav hambumus
