Riskigrupid:
Kirjeldus
Põletikuvastased ravimid: antibiootikumid (penitsilliin), aspiriin, ibuprofeen jt.Hüperplaasiat ehk igeme liigakasvu põhjustavad tavaliselt ravimid Nt. Epilepsiaravimid, kaltsiumikanalite blokaatorid ja immunosupressandid.
Suurenenud igemete veritsuse põhjuseks võib olla pikaaegne atsetüülsalitsüülhappe või antikoagulantide (nt hepariin või varfariin) kasutamine.
Astma raviks kasutatakse bronhide silelihaste spasmi lõõgastavaid ravimeid e. bronholõõgasteid ja glükokortikosteroide. Enamus astma ravimitest manustatakse inhalatsiooni teel, kuna nii satub ravim otse vajalikku toimekohta, efekti saab väikeste ravimite annustega, süsteemne toime on minimaalne. Kuna tegemist on peroraalse ravimite manustamisega, on oluline teada, kuidas see mõjutab astmahaige suutervist. Ravimite tõhus inhaleerimine hingamisteedesse on raske, bronhidesse jõuab parimal juhul ainult väike osa ravimist, ülejäänu jääb astmahaige suhu ja ülemistesse hingamisteedesse. Astmal kui haigusel ei ole kahjulikke toimeid suuõõne tervisele. Küll aga astmaravis kasutatavad ravimid soodustavad hamba- ja suuõõne haigusi, sest peaaegu kõik astmaravimid on suu kaudu inhaleeritavad ning inhalatsioonil jääb osa ravimist suu limaskestale. Tähtis on hammastest pärinevate infektsioonide vältimine, need omakorda halvendavad suuõõne haigusi. Kortisooni sisaldavad ravimid (tabletid või pihustid) nõrgestavad organismi vastupanuvõimet ja seega ka suu limaskesta vastupanuvõimet infektsiooni vastu
Omaette rühma moodustavad epilepsia ravis kasutatavad ravimid. Siin tuleb koos
perearsti/raviarstiga vaadata üle suulimaskesta raviplaan, sest pikaaegse ravi tulemusena
võivad tekkida hüperplaasilised muutused igemetel. Selle komplikatsioonina võib esineda
fronthammaste ettepoole väljasurumine alveolaarharjal (protrusioon).
allergia ravimitele:
– Kõige tavalisem on penitsilliiniallergia. Vaatamata sellele tekitab penitsilliin tõelise reaktsiooni ainult 5% nendest inimestest, kes arvavad olevat penitsilliini suhtes ülitundlikud.
– Sulfaravimid tekitavad lööbeid (ka Stevens- Johnsoni sündroomi) ja verepildi muutusi.
– Trimetopriim põhjustab lööbeid sama sagedasti kui sulfaravimid.
– Pikka aega kestev nitrofurantoiiniravi võib viia allergilise kopsureaktsiooni tekkimisele.
– Atsetüülsalitsüülhappe intolerantsus põhjustab igal aastal astmapatsientidel surmajuhtumeid. Ettevaatlik peab olema ka teiste põletikuvastaste valuvaigistitega (ohutuimad on paratsetamool ja opioidid).
– Erythema fixumit tekitavad fenasoon, ibuprofeen ja paratsetamool.
– Diltiatseem põhjustab suhteliselt sagedasti laigulist eksanteemi.
– Kinidiin tekitab eksanteemi, erütrodermiat, erythema fixumit, punast lihhenit meenutavat löövet ja vaskuliiti.
– Neuroleptikumid, karbamasepiin ja fenütoiin tekitavad eksanteemi.
– Reumatoidartriidi ravimitest põhjustab kuld eksanteemi, penitsillamiin nii eksanteemi kui ka punast lihhenit meenutavat löövet ning mõlemad ravimid kopsureaktsioone. Metotreksaat ja asatiopriin võivad tekitada kopsureaktsioone.
– Joodi sisaldavad röntgenikontrastained tekitavad sageli otseseid allergilisi reaktsioone.
– Allergia lokaalanesteetikumide suhtes (nõgeslööve või astmahoog) on harv. Tavalisem reaktsioon on vasovagaalne teadvusekaotus. Pärast sellist reaktsiooni võivad patsient ja arst tuimestust niivõrd karta, et on vaja teha uuringud anesteetikumiallergia suhtes.
– Vaktsiinide poolt põhjustatud reaktsioonid on harvad. Influentsa- ja MPR-vaktsiinidest võivad kõige tundlikumad munaallergikud saada nõgeslööbe. Mitmes vaktsiinis on tiomersaali, mis võib süstimiskohale tekitada punetust.
– Valgusreaktsioonide kohta
– Parenteraalne manustamine tekitab tõsisemaid allergilisi reaktsioone kui suu kaudu manustamine.
Pildid
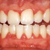
Igemete vohamine
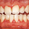
See võib jube valus olla
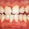
Ravimite põhjustatud limaskesta kahjustused lastel
suuõõne seeninfektsioonid
suukuivus
Ravimiallergia huultel
Diagnoos, sümptomid
Sümptomid
Olulisemad astmaravimite kõrvaltoimed kuiva suu tõttu on:
- kaariese oht
- parodondi haigused ja
- suuõõne seeninfektsioonid.
Inhaleeritavad kortikosteroidid suurendavad Candida (Candida albicans - suu seeninfektsiooni põhjustav pärmiseen) hulka suuõõnes, mis kliiniliselt väljendub atroofilise või pseudomembranoosse vormina.
Haigetel, keda ravitakse kortikosteroididega on glükoosi sisaldus süljes ja igemetasku vedelikus märkimisväärselt kõrgem. See võib samuti soodustada Candida kasvu, prolifereerumist ja kinnitumist.
Kortikosteroidide põhjustatud vormid on tavaliselt atroofiline (äge / krooniline) ja pseudomembranoossne. Ilmuvad valged või hallid katud, mis on kergesti ära kraabitavad ja alt veritsevad. Suu limaskest on valulik. Ägeda atroofilise kandidoosi korral pseudomembraanid on irdunud ja limaskestadel on ühtlane või laiguline punetus (erütematoos).
Üks haiguse vorm on kipitav keel (glossodynia).
Tavalised sümptomid on:
- suu kuivustunne ja sellest tulenevad neelamis- ja kõnelemishäired.
Tekib:
- rohke vedeliku vajadus, eriti öösel
- limaskestade hellus
- punetus
- keele valulikkus ja
- keele pinna lõhenemine või silenemine.
- maitsetunde muutus (suus on metalli maitse)
Sülg on tihke ja suupõhi on kuiv. Süljenäärmed võivad palpeerides olla hellad või turses. Süljeeritus on langenud allapoole piirmäära.
Kuiva suuga haigel on suur kaariese risk. Kaaries esineb ebatüüpiliselt intsisiivide tipus, siledatel pindadel ja
igemetaskutes.
Kroonilise atroofilise kandidoosi puhul on suu limaskestal difuusnne punetus ja üksikud ebakorrapärased punetavad laigud (Tyldesley 1989.)
Tavaliselt on haige kaebusteks:
- suuõõne limaskesta valu
- põletustunne
- veritsemine või “karvane” tunne suus
- maitsetunde muutumine.
Ravi
ÜldraviHambaravi on reeglina vaid sümptomaatiline, suunatud kaebuste vähendamisele, limaskesta tervenemise kiirendamisele ja sekundaarse nakkuse ära hoidmisele.
Hüperplaasia ravi: kirurgiline ja võimalusel vahetada põhjustav ravim või katkestada selle manustamine ajutiselt. Paikselt kasutada valutustavat, põletikuvastast ja epitelisatsiooni soodustavat ravi.
Suu hügieen
•Hambaid tuleb igal hommikul ja õhtul põhjalikult pesta pehme hambaharjaga või elektrihambaharjaga. Unustada ei tohi hambavahesid.
•Lisaks fluori sisaldavale hambapastale on kasulik tarvitada ka mõnd lokaalset vahendit, eriti fluori sisaldavaid imemistablette või närimiskummi. Kaaries riskirühma patsientidele igapäevased suuloputused 0,05% NaF-lahusega.
•Vältida tuleb alkoholi sisaldavat suuvett.
•käima hambaarsti vastuvõtul tavalisest sagedamini, iga 3–6 kuu järel.
•Kuiva suu hambapasta sisaldab kolme süljeensüümi - laktoperoksüdaas, glükoosoksüdaas ja lüsosüüm - tõstmaks ja asendamaks sülje enda kaitseomadusi (Biotene hambapasta)
Limaskesta ärrituse ja haavanditele võib kasutada:
Antimikroobset niisutavat suu geeli (BIOXTRA, BIOTENE ORAL BALANCE -GEEL jne )
•kaitseb kuivi ja tundlikke suu limaskestasid ja igemeid.
•Toode sisaldab ensüüme, Aloe verat ja ksülitooli ( ei sisalda gluteeni, nii et see sobib ka tsöliaakiat põdevatele.)
•Sobib kui on vähenenud süljeeritus ja aftid
•.manustatakse 2-3 korda päevas keele ja kantakse suus laiali,
•Osa-või totaalproteesid kasutav isik kannab geeli proteesi siseküljele.
Antibakteriaalne klooriheksidiinigeeli
•neile kellel sülje Mutans-streptokokkitase on väga kõrge
•ei kasutata raseduse ja rinnaga toitmise ajal,
•Kloorheksidiin võib põhjustada ka allergilisi reaktsioone.
•Piimatoodete ja geeli kasutamise vahel peab olema vähemalt üks tund, sest piima kaltsiumi nõrgendab kloorheksidiinin efektiivsust.
•Fluoriidi sisaldava hambapasta ja klooriheksidiinigeelin kasutamise vahel peab olema paar tundi, sest naatriumlaurüülsulfaat kahjustab kloorheksidiini mõju.
•kloorheksidiingeeli kuuri ajal pestakse hambad hambapastata.
Kaltsiumi, fosfaati ja fluori sisaldav geel (Cervitec Fluor Protector Gel, GC Tooth Mousse)
•parandab suu mineraalitasakaalu ja aitab neutraliseerida hambakatu pH
•sobib inimestele, kellel on agressiivne kaaries, erosioon, kiirenenud hammaste kulumist või puudulik süljeeritus.
•sobib refluks ja pea -kaelapiirkonna kiiritusravi patsiendile,
•-manustatakse õhtul või hommikul pärast hammaste pesu hammaste pinnale. ( ei sobi piimaproteiiniallergiaga)
Kõik haavandid suuõõnes muudavad söömise valulikuks. Sellisel juhul on võimalik kasutada Aftamed® geeli mis on hüaluroonhappe erivorme. Kuna lahus kinnitub suurepäraselt limaskestadele, jääb kahjustustele kaitsev kattekiht, mis vaigistab valu otsekohe. Pikema aja jooksul eralduv hüaluroonhape rahustab ja uuendab kahjustunud kudesid ning haavandid paranevad seetõttu kiiremini.
Lidokaiin-geeli, mundisol-geeli®, kamistad-geeli® või mõnda muud toodet, mis on mõeldud kasutamiseks suuõõnes ja sisaldab anesteetikume. Valu vähendav efekt on lühiajaline ja seepärast soovitatakse neid suu limaskestale aplitseerida vahetult enne söömist. Toit ei tohi limaskesta ärritada, seega ei sobi liiga kuumad, külmad ega vürtsikad road kuni kahjustuste paranemine kestab. Konsistentsilt sobivad pehmemad või vedelamad toidud.
Suulimaskesta paranemist soodustavad retinooli ehk A-vitamiini sisaldavad õlilahused, millega võib lööbeelemente peitsida. Samal eesmärgil (bakternakkuse arenemise vältimiseks) loputatakse suuõõnt 0,2% kloorheksidiinilahusega kaks korda päevas.
Raviks soovitav vahetada manustatavat põletikuvastase ravimit ja ravida allergiat. Paikselt kasutada valutustava ja põletikuvastase toimega ravimite aplikatsioone. Raskendatud suuhügieeni korral määratakse paranemisperioodiks patsiendile 0,12% kloorheksidiinilahusega suuloputused. CHX seostub hamba-, igeme- ja bakteripinnal olevate anioonidega Mõju avaldub 12-18 tunni jooksul. Kloorheksidiini kasutatakse antiseptikuna igemehaiguste ravil ja ennetuses (tavaliselt 0,12 - 0,2% lahus) Kloorheksidiini toime väheneb vere ja hambapasta jääkide juuresolekul - seepärast soovitatakse peale hambapesu, enne kloorheksidiini kasutamist suu hoolikalt puhta veega läbi loputada. Kloorheksidiin põhjustab juba ravi alguses maitsmisaistingute muutuse ning hammaste ja limaskestade värvumise. Mõlemad kaebused taanduvad kiirelt ravikuuri lõpetamise järgselt.
Candida albicans on ravitav seeninfektsiooni ravimitega.
Igemete vohamise kontrolli all hoidmine nõuab tugevat mehhaanilist suuhügieeni ja regulaarseid hambaravivisiite ja vajadusel eemaldatakse kirurgiliselt pehmeid kudesid
Süljeerituse vähenemist saab ravida sülje stimuleerimise meetoditega ning kuiva suu muude ravi meetoditega.
- Joo vett piisavalt sageli,
- kõva toidu närimine suurendab süljevoolust loomulikul viisil.
-Ksülitooliga närimiskumm, pastillid ja imemistabletid. Ksülitooli kasulik efekt hammastele seisneb selles, et kariogeensed mikroobid ei suuda seda kasutada oma ainevahetuses, ega selle kaudu toota hamba kõvakudesid lahustavaid (piim)happeid. (Ksülitool)nätsu närimine lisab ka sülje eritumist, mis tõstab selle puhverduskapatsiteeti. Pikaaegne ksülitooli kasutamine vähendab S.mutansi hulka katus, kuigi süljes võib selle määr jääda endiselt kõrgeks. Ksülitooli kaariest ärahoidva efekti saavutamiseks tuleks seda närimist (või imemist) nõudval kujul kasutada umbes 1g suuruste annustena vähemalt kolm korda päevas, soovitatavalt (kaks nätsupatja) söögikordade lõpetamiseks. Nii lühendab see söögikorra järgset demineralisatsiooni ja kiirendab pH normaliseerumist, mis on remineralisatsiooniprotsessi eelduseks.)
•Pärast sööki ja söögikordade vahel on süljeerituse suurendamiseks hammaste seisukohalt parim vahend ksülitooliga närimiskumm.
•Viletsate hammastega inimesed nätsu närida ei saa. Närimiskummi asemel võib kasutada ksülitooliga maitsestatud imemistablette ja -pastille,
- Tehissülg ja suukuivust vähendavad geelid
•Tehissüljed leevendavad patsientide vaevusi pikemaks ajaks kui mitmesugused joogid. Vajadusel võib neid kasutada pidevalt.
•Tehissülge võib valmistada retsepti alusel apteegis, kuid saadaval on ka mitmed tehases valmistatud tehissüljed.
•Tehissülje asemel võib suu limaskestale määrida antimikroobset geeli (Oralbalance®).
Toitumine
•Igapäevased 5–6 söögikorda ja vaheeinet peaksid igaüks sisaldama ka närimist nõudvaid toiduaineid. Iga söögikorra lõpuks tuleks süüa juurvilja, pähkleid või juustu, mis neutraliseerivad suu happelist keskkonda. Kasulik on pärast sööki suud veega loputada
•Söögikordade vahel ei tohi tarvitada hapusid mahlu ja puuvilju ega tavalist suhkrut sisaldavaid toiduaineid.
•Janu joogiks on vesi. Vesi ja mineraalvesi on hammastele ohutud.
- Oluliseks on osutunud toiduaine suus viibimise aeg. Näiteks karastusjoogi vedeliku vormis suhkur eemaldub suust kolme minutiga (happerünnak siiski ca 20 min), samas on sama suure suhkrukoguse kliirens (kohvi)saiakese kujul umbes 20 minutit (happerünnak kuni 2 h). Eesmärgiks peaks olema mõistlik suhkru tarbimine, võimaluse korral sahharoosi asendamine vähem kariogeense suhkruvormiga ja piisav mälumiskoormus. Rikkalikult süsivesikuid sisaldavaid toiduained tuleks süüa põhisöögikordade ajal. Vältida tuleks magusaid põhisöögikordade vahelisi “näksimisi”, et ööpäevane “happerünnakute” arv viia miinimumini. Juba imiku peaks harjutama janu korral esimese võimalusena tarvitama (keedetud) vett.
Peale ravimite manustamist loputa suud veega. Vesi eemaldab ravimi suu limaskestadelt ja hammastelt.
Viited
http://www.e-ope.ee/_download/euni_repository/file/2518/hambaarstilt_perearstile_materjalid.pdfhttp://www.hambaarst.ee/artiklid/36871/astmaravimi...
http://medicina.bestit.ee/bw_client_files/medicina...
