Kirjeldus
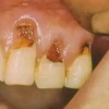
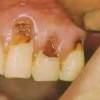
Hambaauguks ehk kaariesekahjustuseks nimetame hamba kõvakoe kahjustust, mille on põhjustanud hambapinnal elava mikroobiikihi ehk biofilmi elutegevuse jääkaine - piimhape. See hape söövitab hambakude ehk lahustab sellest välja mineraale, mille tagajärjel hambakude pehmeneb. Kahjustus tungib läbi hambaemail silmale nähtamatult järjest sügavamale vähem mineraalaineid sisaldava hambaluuni ehk dentiinini, kus kõduprotsess salakavalalt hammast seest õõnestab, kuni vaap murdub ning ka inimene ise endal hambaaugu "avastab".Pildid
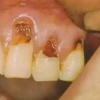
kaaries igemeäärel
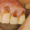
kaaries
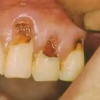
kaaries
Etioloogia
Kaariesenakkus saadakse tavaliselt 6.-30. elukuul lähisugulaselt, tavaliselt emalt, sülje vahendusel. Tänasel päeval tuntakse vähemalt 26 erinevat happerünnakut esile kutsuvat pisikut. Mida hiljem nakkus saadakse, seda raskem on haigustekitajatel suhu koloniseeruda.Kui nakkus on juba saadud, siis klassifitseerub hambakaaries krooniliseks haiguseks, sest "tervenemine" toimub koos hammaste kaotusega raugaeas. Küll on aga kõik terved inimesed võimelised oma kaariesehaigust tervislikult käitudes kontrolli all hoidma.
Diagnoos, sümptomid
Sümptomid
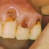
- hambas on auk (9)
Hambaauk kui kõvakoekahjustus iseenesest nähtusid ei põhjusta, kui just augu terav serv limaskesta ei kraabi või hambaauk toitu ei püüa. Kui hambaauku põhjustavate bakterite mürgid hambanärvi ärritavad-kahjustavad, siis võivad esineda valunähud. Hambanärvi tõsise põletikukahjustuse korral võib hammas valutada.
Ravi
Haiguse ravi peab olema põhjuslik ehk uute hambaaukude ärahoidmiseks tuleb välja selgitada ja kontrolli alla võtta haiguse põhjused. Kuna demineraliseerimist põhjustavad biofilmi bakterid, siis peab ravi mõjutama biofilmi, kujundades seda hambasõbralikumaks.Kõige lihtsam on bakterite elutegevust häirida nende toidulaua kaudu. Ehk inimene peab kontrollima oma toitumisharjumusi. Söögikordade arvu tuleks piirata maksimaalselt 4-5 korrale päevas ehk jätta toitumiskordade vahele võimalikult pikad pausid. Söömiskordade vahepeal olgu janujoogiks vesi.
Teine võimalus on biofilmi mõjutada keemiliselt, näiteks kloorheksidiinikuuriga. Ägeda kuluga kaariese korral on see hädavajalik.
Hammaste pesemine biofilmi omadusi ei muuda. Hammaste harjamine võib küll vähendada bakterite arvu, kuid ei mõjuta katubakterite võimet toota hapet.
Pindmised kaariesekahjustused paranevad süljemineraalide abil, kui haiguse põhjused on kontrolli all. Paranemisprotsess on kiirem kui hambaid mineraliseerida näiteks fluoriidlaki abil. Kodus peab patsient regulaarselt kasutama fluoriidi-sisaldavat hambapastat.
Suurte defektide, mida loodus parandada ei suuda, täitmiseks kasutab hambaarst täidismaterjali.
Järelkontroll
Kaariesehaigus on kõigile tervetele inimestele piisava tervisteadlikkuse korral jõukohane kontrolli all hoida.Hambaarsti või suuhügienisti tuleb külastada vastavalt individuaalsele riskile 3 kuu kuni 2 aastaste intervallidega.
Prognoos
Hambaaugu tekkimist on võimalik vältida. Juba haigestunult tuleb kontrolli all hoida haiguse põhjusi.Ükski hambasse asetatud tädis pole igavene. Mida suurem täidis, seda halvem prognoos. Kui ei kontrollita haiguse põhjusi, viib see hambakaotuseni.
