Kirjeldus
Hambakaaries on hamba kõvakudedes (emailis, dentiinis, juuretsemendis) pöördumatult kulgev krooniline destruktiivne protsess. Tekkiva emaili demineralisatsiooni tulemusena kahjustunud hambakude langeb välja ja hambasse tekib karioosne defekt e. hambaauk. Kahjustus progresseerub kui õigeaegselt ei eemaldata muundunud karioosset kude ja defekti ei täideta plommiga. Hambakude ei taastu kunagi iseenesest.Hambakaaries on hammaste haigus, millesse on haigestunud enam kui 70 - 80 % kogu maailma elanikkonnast. Ka Eesti laste hulgas on kaariese levimus kõrge(60-70%) eriti Lõuna–Eestis (Võru, Valga, Põlva) kus joogivees on vähe fluori. Parem on olukord Lääne-Eestis (Pärnu, Haapsalu). Viimastes piirkondades on aga sagedam fluoroosi esinemine, mis omakorda näitab emaili kahjustust hammaste arengu perioodil. Eestimaa joogivesi on suures osas fluorivaene, napilt vaid pooled elanikud saavad optimaalse fluorisisalusega joogivett (0.51-1,5 mgF/l).
Kaariesest on kahjustunud juba 2-3 aastaste laste hambad, sealjuures sageli 4 ja enam hammast. Jäävhammaste kahjustus on suurem alates 12 aastast, kus keskmiselt 2-3 jäävhammast on juba kas karioossed või plombeeritud.
Kaariese komplikatsioonid võivad põhjustada lõualuudes põletikke mille tulemusena tuleb hiljem eemaldada palju hambaid. Samas, lõualuude krooniline põletik ja hambaaukudes massiliselt paljunevad mikroobid võivad kahjustada organismi juba lapseeas.
Pildid
Hambakaariese 4 staadiumi
Hambakaaries
Etioloogia
Mis põhjustab kaariese teket?Hambakaariese tekkes ja selle kulus arvestatakse 4 põhilist faktorit:
1. Hambakude. Oluline on normaalselt arenenud hambakude, selle struktuur ja mineraalainete sisaldus. Teatud mõju on hamba kuju ja koe arengus ning mineralisatsiooni protsessis ka geneetilistel teguritel. Kui puudulikule struktuurile lisanduvad sülje happelisus, mikroorganismid ja süsivesikuterikas toitumine, kujuneb karioosne protsess kiiremini. Selleks on vajalik lapsel jälgida hambaemaili pinda ja värvust juba kohe pärast hamba suhulõikumist, et näha võimalikke muutusi ja kalduvust kaariese tekkeks.
2. Mikroobid Eriline mõju on mikroorganismidel (S mutans, laktobatsillid), nende hulgal ja hambakatul (plaque) Suuõõnes esineb rikkalikult mikroobe. Kariesogeenne mikroob S.mutans (SM) osaleb karioosse kahjustuse tekkel järgnevate protsesside juures:
· hapete moodustumisel suhkrust
· polüsahhariidide sünteesil, millega võib kaasneda suhkrute adhesioon hambale ja katu (plaque)hulga suurenemine
· polüsahhariidide sünteesil koos hapete produtseerimisega isegi siis kui suhkur puudub toidust.
Täheldatakse kõrget S. mutansí hulka hammast katvas katus ka uue defekti kujunemise perioodil.
3. Toit. Ebaterved toitumistavad, kõrgenenud hulk süsivesikuid, valgu- ja mineraalidevaene toit ning madala fluori sisaldusega joogivesi soodustavad kaariese teket.
4. Aeg, mille jooksul mikroorganismid ja toidu süsivesikud on kontaktis emaili pinnaga Eriti oluline on arvestada seda aega, mil süüakse kleepuvaid maiustusi (pulgakommid jt. ja juuakse magusaid jooke.
Diagnoos, sümptomid
Sümptomid
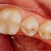
Emailikaaries on pindmine kahjustus, mille puhul karioosne defekt asub emailis. Märgatav on piimjasvalge värvusega defekt, harvem pigmenteerunud hambapind. Viimast võib leida purihammaste hambavagudes ehk fissuurides.
Dentiinikaaries on dentiinikihti osaliselt haarav defekt e. hambaauk milline ulatub emaili all hambaluusse. kuid pulbi kaitseks jääb veel küllalt kahjustamata kudet. Võrreldes emailiga on dentiin vähem kaltsifitseerunud ja sisaldab mikroskoopilisi õõnsusi (tuubuleid), mistõttu allub kergemini hapete ja mikroobide mõjule ning kaaries kulgeb seal kiiremini.
Sügav dentiinikaaries on pulbi lähedusse ulatuv sügav karioosne defekt, mille juures dentiini kiht pulbi kaitseks on jäänud väga õhukeseks. Sellise kahjustuse puhul võib esineda kaebus valule, mis tekib teravamaitselise toidu ja külma-kuuma ärritusele.
Hambapulbi põletik.Kui sügav kaaries jääb ravimata ja pulbiõõs avaneb siis järgneb sellele põletik pulbikoes, millega kaasneb valu. Valu esineb toidu ja temperatuuri arritustele kuid ka ööseti Põletik võib paikneda kas ainuilt hambapulbi osas. või üle minna juurealusesse koesse. Sellisel juhul on hamba ravi komplitseeritum.
