Sisesta otsitav sõna või sõnaosa ja otsing väljastab sulle tulemused rubriikide kaupa.
NB! Üldotsing ei pruugi leida sama palju tulemusi kui vastava rubriigi detailne otsing
Otsingutulemused rubriikide kaupa:
Artiklid, sõnastik jt tekstid
Leidsin 15 vastet, näitan esimesed 10Artiklid
Otsingutäpsus:100%
1. märts 2001
Põhjalik ülevaade hambaravikabniteile esitatavatest hügieeninormidest ja nende saavutamise viisidest Aseptika meetodid Aseptika hulka kuuluvad kõik toimingud ...
Artiklid
Otsingutäpsus:100%
21. mai 2011
... hambasse Regulaarse hambasõbraliku toitumisega janujoogiks vett kasutades ning perfektsete suuhügieeni harjumustega pole hambaaugu tekkimine võimalik Ehk siis hambad püsivad terved läbi elu nagu ...
Artiklid
Otsingutäpsus:100%
21. mai 2011
... hambasse Regulaarse hambasõbraliku toitumisega janujoogiks vett kasutades ning perfektsete suuhügieeni harjumustega pole hambaaugu tekkimine võimalik Ehk siis hambad püsivad terved läbi elu nagu ...
Artiklid
Otsingutäpsus:100%
3. jaan 2006
... saamine on väga raske töö Regulaarse toitumisega janujoogiks vett kasutades või perfektsete suuhügieeniharjumustega pole hambaaugu tekkimine võimalik Ehk siis hambad püsivad terved läbi elu nagu ...
Artiklid
Otsingutäpsus:100%
25. mai 2006
... bakteriaalse kolonisatsiooni tõusule ja desinfektantide tõhususe vähenemisele Puudulik käte hügieen on kõige tavalisem põhjus infektsiooni ülekandmisel See ei kehti mitte ainult hambaravi ja ...
Artiklid
Otsingutäpsus:100%
4. juuni 2002
... plastika lõualuude liigse kasvu pidurdamine kahjulike harjumuste kõrvaldamine varajane suuõõne hügieen ja hammaste ravi piimahammaste lõikumise jälgimine varakult õige rühi kujundamine Vastsündinud ...
Artiklid
Otsingutäpsus:100%
2. nov 2001
... tutvustatakse materjalide ja vahendite desinfitseerimisel kasutatavaid vahendeid Sissejuhatus Hea hügieeni tagamine on hambaravis üha tähtsamaks muutunud vastavalt sellele mida rohkem on juurde saadud ...
Artiklid
Otsingutäpsus:100%
2. nov 2001
... võimatu Kindlasti tuleb märkida et emailipinna dekaltsifikatsioon on risk ainult ebapiisava suuhügieeniga patsientidele Samuti on periodondi probleemid tugevalt seotud halva suuhügieeniga Vilets ...
Artiklid
Otsingutäpsus:100%
16. okt 2002
... järel kirjalikud juhised patsiendile ning vastavad märked lühidalt ka patsiendi kaardile suuhügieeni harjumuste hindamine harjamise sagedus abivahendite kasutamine nähtava katu registreerimine ...
Artiklid
Otsingutäpsus:100%
25. sept 2002
Loe 1. osa Patsiendi katmine vedelikke mitteläbilaskva ühekordse paber)servetiga silmade kaitseks kasutatakse tumedaid prille mis...
Koolitused
Otsing ei andnud tulemusi!Hambaraviasutused
Otsing leidis
68 asutust:
68 asutust:
Otsingutäpsus:100%
- Paadi tee 3, Haabneeme (Viimsi Äritare), Harjumaa 74001
- (+372) 6 011 812
(+372) 53 416 072 - https://www.lumen.ee
- https://www.facebook.com/lumenhambakliinik
Otsingutäpsus:60%
- Kambja; Melliste; Räpina, Tartumaa
- Kambja 56476062
Melliste 56908904
Räpina 56834315
Suuhaigused Hambarobotis
Leidsin 10 vastet
Otsingutäpsus:100%
21. juuli 2013
... asemel võib suu limaskestale määrida antimikroobset geeli (Oralbalance®).
Suu hügieen
•Hambaid tuleb igal hommikul ja õhtul põhjalikult pesta pehme hambaharjaga või elektrihambaharjaga. ...
Otsingutäpsus:100%
12. mai 2013
... diasteem, hammast kuhjumine, maloklusioon, kõrge huulekidade kinnitus, teiselt poolt halb suuhügieen. Peale lokaalsete põhjuste tuleb arvestada ka süsteemseid faktoreid. Nendel patsientidel on ...
Otsingutäpsus:100%
17. sept 2012
... suus laiali,
•Osa-või totaalproteesid kasutav isik kannab geeli proteesi siseküljele
Suu hügieen
-Kuiva suu hambapasta sisaldab kolme süljeensüümi - laktoperoksüdaas, glükoosoksüdaas ...
Otsingutäpsus:100%
17. sept 2012
... on suu normaalsed puhastusmehhanismid sageli häirunud
Bakteriaalsed põhjused
– Halb suu hügieen (eriti proteeside kasutajail)
– Hambakaaries
– Parodondi haigused
– Mustkarvaskeel ...
Otsingutäpsus:100%
10. sept 2012
... taasteket ei kaasne ning selles mõttes on
parodontiit pöördumatu kuluga haigus.Puuduliku suuhügieeni korral peetub hammastele, igemepiirile ja hambavahedesse hambakatt, millesse süljest ja igemetasku ...
Otsingutäpsus:100%
9. sept 2012
... Bakterite ülekandumine
Elustiil ja harjumused: suisetamine, psühholoogilised faktorid, suuhügieen
Keskkond: sotsiaalne taust, hambaravi kättesaadavus
RISKITEGURID:
• Suitsetamine
- ...
Otsingutäpsus:100%
9. sept 2012
... Paikselt kasutada valutustavat, põletikuvastast ja epitelisatsiooni soodustavat ravi.
Suu hügieen
•Hambaid tuleb igal hommikul ja õhtul põhjalikult pesta pehme hambaharjaga või elektrihambaharjaga. ...
Otsingutäpsus:100%
23. sept 2012
... ja vastavalt keele keskosa muutumine.
– Põhjuseks on tavaliselt krooniline ärritus (halb suu hügieen, suitsetamine, vahel pikaajaline antibiootikumide tarvitamine).
– Seened võivad muutuse ...
Otsingutäpsus:100%
19. sept 2012
... asemel võib suu limaskestale määrida antimikroobset geeli (Oralbalance®).
Suu hügieen
•Hambaid tuleb igal hommikul ja õhtul põhjalikult pesta pehme hambaharjaga või elektrihambaharjaga. ...
Otsingutäpsus:100%
22. sept 2012
... Tehissülje asemel võib suu limaskestale määrida antimikroobset geeli (Oralbalance®).
Suu hügieen
-Kuiva suu hambapasta sisaldab kolme süljeensüümi - laktoperoksüdaas, glükoosoksüdaas ...
Vastab spetsialist
Katrin küsis
29. apr 2015
29. apr 2015
... ei muuda midagi. Loomulikult tunnen vastutust lapse suuhügieeni eest ja tahan edaspidi seda rangemalt jälgida. Suvel ...
ortodont Triin Jagomägi vastas3. mai 2015
... lõppedes.
Kui ortodondid leiavad et suuõõne hügieen ei ole hea, siis teie lapse puhul on aega küll, et ...
Maie küsis
14. dets 2010
14. dets 2010
Pesen hambaid kaks korda päevas, kasutan suuvett ja mul ei ole juba aastaid ühtegi hambaauku olnud. Kaks päeva tagasi aga avastasin endalegi üllatuseks, et hamba sisepinnal tundub keelega katsudes auguke. See auk on lõikehambas kohe igeme kõrval ning tundub, et...
suuhügienist Terje Altosaar vastas23. dets 2010
... Harjad on sünteetilisest materjalist, mistõttu need on hügieenilised ja neid
on kerge puhastada.
• Hea hambahari ...
K küsis
15. dets 2010
15. dets 2010
Tere Käisin hambaarsti juures, kus öeldi, et mul on igemepõletik. Soovitati raviks mingit suuloputamisvedeliku. Peale arsti külastamist vestlesin oma partneriga, kellel ka igemed punetavad ja veritsevad. Kuidas mõjutab ravi suudlemine, kui partner enda suuhügeenis kasutab vaid hambaharja? Vastust ootma jäädes.
Hambaarst.ee admin vastas16. dets 2010
... partneril igemepõletikku pole, igemed on korras ja suuhügieen on korralik, siis ei tohiks nakkusohtu olla. Igemepõletik ...
Mures küsis
19. okt 2010
19. okt 2010
Mu emal on paradontiit, õel tundub ka olevat ja minul nüüd siis ka. See süvenes peale sünnitust ja hammastele hakkavad tekkima vahed ja hambakaar ei ole enam ilus : ( Samuti on näha ka juba see igeme kahjustus, mis tuleb...
Hambaarst.ee admin vastas20. okt 2010
... ole siiski pärilik haigus, küll aga päritakse edasi suuhügieeni harjumused - eks laps õpib hammaste pesemist oma vanematelt. ...
Kaire küsis
26. aug 2012
26. aug 2012
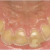
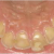
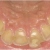
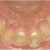
Tere! Olen mures ja tahan teada mis saab minust, kui mul tihti peab hammas välja tõmbama hambaarstil ja arst ütleb et on igeme haigus parodontoos ja kaugele arenenud juba. Mul tihti igemed valutavad kui külma ja kuuma joon, peale seda...
hambaarst Marek Vink vastas16. nov 2012
... hambajuurepinnad ja patsient edaspidi adekvaatse suuhügieeniga hoidma bakterikasvu kontrolli all. Kaugele arenenud ...
Liidia küsis
27. okt 2012
27. okt 2012
Miks tuleb vahel parodontoos? Mul on ta olnud ja see on väga valus. Ma tahaks, et teda enam ei juhtuks aga, kuidas?
Hambaarst.ee admin vastas29. okt 2012
... parodontiidist) pole võimalik vabaneda ilma korraliku suuhügieenita. Kehv suuhügieen ongi parodontoosi põhjus - igemete ...
Kirsti küsis
14. jaan 2002
14. jaan 2002
... nüüd küsimused.
1. Mida teha, kui vaatamata laitmatule hügieenile hambad lagunevad ( kaaries )? Eranditult kõik plommid ...
hambaarst Marek Vink vastas17. jaan 2002
... suus, siis saab nende arvu seal vähendada adekvaatse suuhügieeniga (= õige harjamise tehnika + abivahenditega hambavahede ...
Virve küsis
25. okt 2013
25. okt 2013
6-aastasel poisil jäi jäävhammas ravita eksituse (arst arvas, et on piimahammas) tõttu ja nüüd on hammas lagunenud. Mida teha saab? Kas ainult välja tõmmata või on muid võimalusi?
Hambaarst.ee admin vastas25. okt 2013
... viltu.
Kindlasti peate üle vaatama ka lapse suuhügieeniharjumused ja -oskused, samuti toitumisharjumused (liiga ...
Sven küsis
22. veebr 2013
22. veebr 2013
Tervist, mul on nii et vasakul pool 1 hamba ümbrus päris punane. Valutab ka kui selle suupoolega süüa. Ütlen ausalt et ei ole hambaid üldse pesnud. Nüüdsest hakkan kuna ei taha hambavalu : ) Kas oskate öelda millega tegu?
Hambaarst.ee admin vastas25. veebr 2013
... Algstaadiumis saaks sellest ehk korraliku suuhügieeniga lahti. Lisaks hammaste harjamisele tuleks kasutada ...
Piret küsis
13. juuni 2003
13. juuni 2003
... mul on olnud kalduvus kaariese tekkele, kuigi suuhügieen on hea (hambapesu vähemalt 2 korda päevas, 1 kord ...
ortodont Triin Jagomägi vastas16. juuni 2003
... puhul on oht suurem hambaaukude tekkeks, aga seda just suuhügieeni seisukohalt. Breketitega suud saab ka väga edukalt ...
