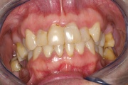
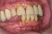
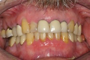
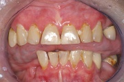
Suukuivus
Kõige tavalisem kaebus sülje hüpofunktsiooni korral on püsiv, terve päev kestev suukuivus. Selline seisund nõuab sagedat joomist. Inimesed ärkavad tihti keset öö ja on sunnitud võtma klaasi vett endaga voodisse. Tuleb eristada aga neid, kes ärkavad põhiliselt hommikul, sest suukuivuse Loe edasi »