Hambarobot

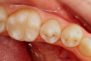
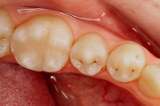
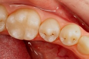
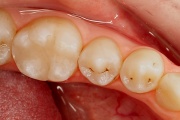
Hambakaariese 4 staadiumi
Hambakaariese 4 staadiumi
Sümptomid:
  • hambapinnal on valged laigud/triibud
  • hammas on tundlik külmale (2)
  • hammas on tundlik kuumale (2)
  • hambas on auk (9)
  • hammas valutab mälumisel
  • hammas valutab pärast söömist
  • hammas tuikab teravalt (3)
  • hamba pind on läiketa ja kare (2)
  • hammas on tundlik magusale (2)
pilt
NB! Meie leht kasutab küpsiseid (cookies) veebiliikluse analüüsimiseks ning kasutajakogemuse parandamiseks. Jätkates veebilehe kasutamist, nõustud küpsiste salvestamisega sinu arvutisse.