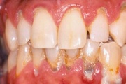
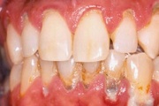
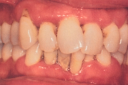
Krooniline parodontiit
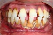
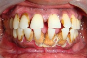
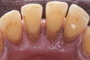
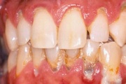
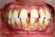
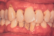
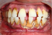
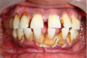
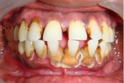
Krooniline parodontiit on mikroobide poolt põhjustatud hammaste tugikudede põletik, mille tulemusena tekib progresseeruv alveolaarluu (nähtav röntgenograamil) ja periodontaalligamendi destruktsioon, igemetaskute moodustumine, igeme retsessioon või mõlemad kahjustused kombineeritult. Loe edasi »
Sümptomid:
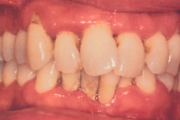
- igemed veritsevad (19)
- igemed punetavad (21)
- ige on paistes (mädapunn)
- igemed on tursunud/vohavad (17)
- igemed on valulikud (19)
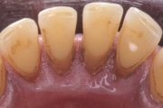
- igemepiir on taandunud (3)
- luu destruktsioon (5)
- hammaste asukoha muutus (5)
- vertikaalne luukadu (2)
- horisontaalne luukadu (3)
- hamba kinnitussidemete kadu (3)
- puudulik suuhügieen (5)
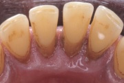
- igemepealne hambakivi (5)
- igemealune hambakivi (4)
- suitsetamine (5)
- stress (6)
- vahed hammaste vahel (5)
- hammaste tundlikkus (9)
- tahkele toidule pehmema eelistamine (5)
- puuduvad hambad/hammas (4)
- igemetaskust eritub mäda (3)
- parodontaalne abstsess (2)
- halb hingeõhk / suu haiseb (12)
- halb maitse suus (12)
- valulikkus söömisel (29)
- haavandid (18)