Arstid ja asutused
Vastab spetsialist
Koolitused
Hambaravialased artiklid
Hambaravisõnastik
Videod
Kuulutused
Hambarobot
Ajaviide
Logi sisse
Otsi
Arstid ja asutused
Vastab spetsialist
Hambarobot
Koolitused
Artiklid
Videod
Sõnastik
Kuulutused
Ajaviide
Logi sisse
OK
Näita parooli
* * *
Parooli saad muuta
oma konto lehel
Unustasin parooli
Hambarobot
Sümptomid
Pildid
Suuhaigused
Juhend
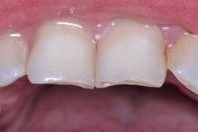
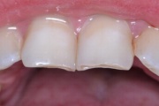
Erosioonikahjustus lõikehamba servas ja kaelal täidetud
Hamba erosioon
Muu kui katubakterite happe põhjustatud hamba kõvakoe happelist kahjustust nimetatakse erosiooniks. Hape söövitab ehk demineraliseerib hambapinda, muutes selle pehmeks ja nii kiiresti kuluvaks.
Loe edasi »
Sümptomid:
hambakaela tundlikkus
(2)
hamba lõikeserva tundlikkus
(2)
hambakaela V-defekt
(2)
hammaste tundlikkus
(9)
NB! Meie leht kasutab küpsiseid (cookies) veebiliikluse analüüsimiseks ning kasutajakogemuse parandamiseks. Jätkates veebilehe kasutamist, nõustud küpsiste salvestamisega sinu arvutisse.
Olen nõus
Eesti
Hambaarstide
Liit
EHL
Eesti
Suuhügienistide
Liit
ESHL
Eesti
Hambaraviõdede
Seltsing
HÕS
Suutervis
koolis
Kiku