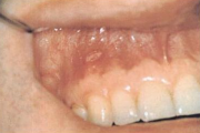
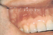
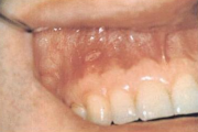
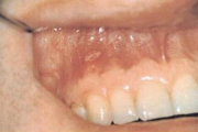
Kontaktist tekitatud kahjustused suulimaskestal
-Kontaktist põhjustatud mehhaanilist limaskesta kahjustust võivad esile kutsuda ortodontilised plaadid, breketid Harva põhjustavad kahjustusi täidismaterjalid.- Metalliärritust võivad anda breketid, aparaatide klambrid, hambakroonid – kroom, nikkel, berüllium, palladium, kloriid. Siia Loe edasi »