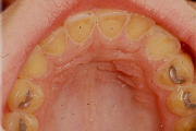
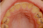
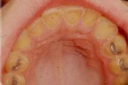
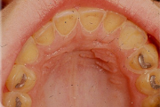
Laste ja noorukite söömishäired. Anorexia nervosa, Bulimia nervosa
Söömishäirete all peetakse silmas olukordi, kus toidul on kaudne, manipulatiivne tähendus: leitakse, et toiduga saab hästi reguleerida välimust. – Söömishäirete skaala on kirju. Kõige sagedamini esinevad häired on anorexia nervosa ja bulimia nervosa. Neile lisanduvad atüüpilised Loe edasi »