Riskigrupid:
Kirjeldus
Seda parodontiidi vormi esineb umbes 1%-l elanikkonnast. On haiguse kiiresti progresseeruv vorm, mille puhul patsiendid kaotavad kõik hambad enne 30-35. eluaastat. Tavaliselt haigestutakse piimahammaste lõikumise ja puberteedi vahele jääval perioodil.Jagunemine:
- lokaliseeritud agressiivne vorm
- generaliseerunud vorm.
Põhilised muutused on sarnased kroonilise täiskasvanuea parodontiidiga, kuid on ka teistsuguseid iseloomulikke jooni, mistõttu neid haigusi käsitletakse eraldi.
Iseloomulik on haiguse järsk algus ja kiire progresseerumine.
Agressiivset parodontiiti iseloomustab puberteedieas või 20-ndates algav igemete kinnitus kudede ja alveolaarluu hävimine. Lokaliseerunud vormi puhul on esmased kolded esimeste jäävmolaaride, esimeste premolaaride ja lateraalsete intsisiivide piirkonnas.
Mõnedel juhtudel haaratakse protsessist kiiresti ka teised hambad ning haigus areneb raskeks generaliseerunud vormiks.
Kliinilised ilmingud ei tarvitse olla eriti väljendunud, kuid teatud juhtumitel on igemed eriti punetavad, valulikud ja veritsevad. Patsiendid on muidu terved.
Pildid
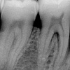
Luukadu agressiivse parodontiidiga patsiendil
Agressiivse parodontiidi kahjustused rasedal naispatsiendil
GAgP 25 aastasel suitsetaval patsiendil
GAgP 25 aastasel suitsetaval patsiendil
GAgP 25 aastasel suitsetaval puuduliku suuhügieeniga patsiendil
GAgP kahjustused 19 aastasel patsiendil
Etioloogia
On tõendeid perekondlikust eelsoodumusest. Parodontopatogeenid võivad levida emalt lapsele, vanavanemalt lapsele, hoidjalt lapsele, mehelt naisele ja vastupidi. Selle haiguse puhul peab uurima ja ravima pereliikmeid samaaegselt.Olulisem leid mikrofloorat uurides on A. actinomycetemcomitansi ja P. Gingivalise suur hulk.
Tõelisteks parodontopatogeenideks loetakse:
- Aggregatibacterium actinomycetemcomitans
- Porphyromonas gingivalis
- Tannerella forsythia
Täiendavalt võib igemetaskutest leida:
- P. Intermedia
- P. Nigrescens
- Campylobacter rectus
- Fusobacterium nucleatum
- Micromonas micros
- Spirochetes
Peale hambakatu ja pärilikkuse, on tekkepõhjustuse hulgas kirjeldatud agressiivse parodontiidi haigetel:
- funktsioonihäiretega neutrofiilseid leukotsüüte
- defektset hambajuurt katvat tsemendi kihti
Põletiku tekitatud kahjustuste spetsiifilise lokaliseerumise ( esimesed jäävmolaarid, esimesed premolaarid ja lateraalsete intsisiivide piirkond) põhjused ei ole teada. Seda seostatakse nende hammaste varase lõikumisega.
Diagnoos, sümptomid
Sümptomid
Andmed kogutakse lapselt ja lapsevanemalt või saatjalt.
NB! Parodondi seisundi hindamine lastel peaks olema suuõõne uuringu rutiinne osa!
• Agressiivse parodontiidi eripäraks on süsteemsete haiguste puudumine, mis võiksid mõjutada patsiendi immuunsüsteemi.
• Lapsed, kellel esineb VPP põevad sagedamini keskkõrva põletikku ja ülemiste hingamisteede põletikke.
Igemete uurimine:
• Kas patsienti on varem ravitud.
• Kas nähtava katu, kivi või muude lokaalsete faktorite hulk on vastavuses kudede kahjustuse hulga ja jaotuvusega.
NB! VPP puhul ei pruugi olla nähtavaid lokaalseid faktoreid.
Parodontaaltasku kindlakstegemine:
• Haigus algab pehmetest kudedest ja levib seejärel luusse.
• Parodontaaltasku on pehmete kudede muutus.
• Tasku sügavus on igemepiiri ja tasku põhja vaheline distants.
Mikrobioloogiline uuring:
• määrata Actinobacillus actinomycetemcomitans ja Porphyromonas gingivalise olemasolu
Sümptomid:
Iseloomulik on progresseeruv hamba kinnituskudede kadu koos sügavate taskute moodustumisega ning väljendunud hammaste liikuvus ning reast nihkumine.
Igemed võivad olla suhteliselt väheste põletiku nähtudega, mis seletab ka hilist diagnoosimist, kui haigus on juba kaugele arenenud. Katu kogunemine on vähene. Iseloomulik on vähe või üldse mitte hambakivi.
Ravi
- ladestuste mehhaaniline eemaldamine- riskitegurite analüüs ja nende kõrvaldamine
- koduse suuhügieeni õpetus.
- kirurgiline ravi
Kirurgilise ravi eelis on, et pääseb ligi kohtadesse, kuhu visuaalse piiratuse tõttu ja/või anatoomilistel põhjustel ei ole võimalik ulatuda. Kirurgilise ravi miinus on igemete avamisel tekkiv luu-ja kinnituskudede kaotus.
Eeldusel, et:
- eelnevalt on teostatud põhjalik ravi
- põletik on kontrolli all
- patsienti on õpetatud enda suuhügieeni eest kvaliteetselt hoolitsema
saab kirurgilise raviga teatud määral taastada hävinenud kudesid. Kirurgilist ravi ei teostata patsientidele, kelle suuhügieen on puudulik.
Varapuhkenud parodontiididhaiged vajavad kompleksravi, ravi on pikaajaline ja nõuab patsiendilt järjekindlust.
Erinevad mikroobi liigid reageerivad erinevatele raviskeemidele erinevalt.
• A. a. elimineerimiseks on vaja teostada nii kirurgilist kui ka AB ravi.
Actinobacillus actinomycetecomitans (Aa) on üks kõige mõjusam haigustekitaja paropatogeenide hulgas. Tetratsükliin mõjutab Aa'd kõige paremini (250mg 3 korda päevas 2 nädala jooksul).
Rasketel juhtudel soovitatakse kasutada metronidasooli 400 mg ja Amoksitsilliini 250 mg (4 korda ööpäevas 1 nädala jooksul).
Järelkontroll
Agressiivse parodontiidi ärahoidmiseks on vajalik sekundaarne preventsioon.Seetõttu on oluline varakult väljaselgitada haiguse riskigruppi kuuluvad indiviidid.
Kord juba haigestunud inimene vajab järjepidevat regulaarset kontrolli, skeem 1-3-3-6 kuud
Prognoos
Agressiivset parodontiiti on pikka aega peetud väga halva prognoosiga haiguseks, paremaidtulemusi on saadud kombineerides lokaalset ravi antibakteriaalse üldraviga.
Täheldatud on, et sügavamad taskud ≥6mm võivad alluda ravile efektiivsemalt kui madalamad ≥4mm
Mõnedel juhtudel protsess peatub iseenesest patsiendi vanemaks saades ning ei laiene teistele hammastele, kuid haigus võib üle minna kroonilise kuluga täiskasvanu parodontiidiks.
Viited
http://www.e-ope.ee/_download/euni_repository/file/2529/suu_ja_hambahaigusedII.pdfhttp://www.e-ope.ee/_download/euni_repository/file...
"Laste hambaravi juhised " 2004 TÜ
Kasutatud fotode koopiad:
http://www.zzm.uzh.ch/ppk/patienten/leistung/parod...
http://www.hindawi.com
